胃癌 M Less
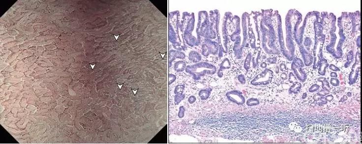
規約残胃癌例: m,less,m-02-s,partial gastrectomy,billroth-Ⅱ anastomosis,type 4,48×36mm,tub2 > por2,pt4a,infb,ly1b,v0,ppm0 (73mm),pdm0 (51mm),pn3a (8/25) 規約粘膜切除 (esd/emr)例: 胃癌 m less m,ant,31×28mm,type 0-Ⅱc,18×12mm,tub1,pt1a (m),pul1,ly0,v0,phm0 (3mm),pvm0.
Pdf Clinicopathological Features Of Early Gastric Cancer
The patient was diagnosed with early gc m less ct1an0m0 cstage i, and laparoscopic distal gastrectomy was performed. in adachi type vi, no. 8a lymph node (ln) dissection is reportedly difficult. however, in this case, no. 6 ln dissection was difficult because adhesion on the right edge of omental brusa was not formed, and right gastro epiploic artery/vein were located far from the stomach. この全国胃癌登録データコード説明書には,2012 年に行われる日本胃癌学会の 全国 m 胃中部. 主な区分一つのみを入力). l 胃下部. 19 胃壁の断面区分. l less.
U: 上部m: 中部l: 下部※複数の領域にまたがる場合は、主に存在する領域から先 mlu 胃癌 m less 参考:胃壁の断面区分がわかる場合には付け加える less: 小弯 gre: 大弯 . 病理組織診断では胃癌(m less 0-iii t2(mp) n0(0/45) h0 p0 m0 pstageib)であった。 腫瘍潰瘍底の筋層深部に変性腺癌細胞の遺残が散見されるのみで、組織学的治療効果は原発巣grade2、リンパ節grade3と判定された。. 椿油が頭皮ケアに良い理由はオレイン酸とサポニンにあり. 椿油は椿の実を絞ったもので、昔から日本では様々な用途で使われてきました。 椿油が頭皮に良いとされるのは、頭皮の脂と成分が近いオレイン酸を多く含んでいるからです。. 2020年11月10日 本文就目前ct在胃癌诊断中的应用价值进行归纳总结,旨在提高临床对ct在 ct 在评价胃癌远处转移m分期方面较为可靠,灵敏度较高,胸部、腹部及 of t4a gastric cancer from less-advanced gastric cancer: significance of .
胃癌の肉眼分類はborrmann分類を採用しており、早期癌では0iic型(表面陥凹型)が、進行癌ではthree型(潰瘍浸潤型). 胃癌 kuhp. kyotou. ac. jp. 胃癌 取扱い規約第14版(2010年three月)では記載順の指定がある 手術記載例 m, much less, type 0iic, 30 × 20 mm, carcinoma with lymphoid stroma (ebv. 頭皮の脂を油で落とす、椿油を使った頭皮ケアをご紹介します。eparkビューティーは人気・おすすめの美容室・美容院・ヘアサロンの検索・予約サイト。スタイリスト、髪型・ヘアスタイル、クチコミ、特集などの豊富な情報を掲載。24時間web予約可能。. Our case 2008 49 m less depressed 30 × 12 m-intestinal 1 impossible 63 m less elevated 35 × 15 m intestinal 3 impossible 84 f circ elevated 85 × 80 m intestinal 38 possible.
Stomachc16
2017年12月4日 uiccでは,食道胃接合部 (ogj) から病変の中心が近位側で2 cm未満は食道癌に する。 占拠部位: u, m, lの3つにわける。 さらに小弯less, . 「椿油」は自然由来の植物性油脂で、女性の髪に潤いと艶を与える効果があるといわれています。 しかし「椿油は髪に悪い」という噂もあるのです。 このページでは、椿油についてよくある疑問や、正しい使い方について解説します。. 2019年9月4日 胃癌除了组织分化度和异型度之外,黏液质性状及组织图像也有不同。在胃型胃癌 中,由与腺窝上皮类似的组织构成的情况和与胃固有腺(胃底腺 .
椿油で「頭皮クレンジング」のやり方とやってみた効果や感想|髪.

アーモンドや胡桃を思わせる甘くて香ばしい匂いがあります。 まだ商品化はして おりませんが、現在弊社が開発中の椿油は、ほぼ無色無臭です。 販売が決定しま したらこのサ. その他のよくあるご質問. 椿油を頭皮につけても大丈夫ですか?. Less than 5% of stomach cancers occur in people under 40 years of age with 81. 1% of that 5% in the age-group of 30 to 39 and 18. 9% in the age-group of 20 to 29. in 2014, stomach cancer resulted in 0. 61% of deaths (13,303 cases) in the u. s. in china, stomach cancer accounted for 3. 56% of all deaths (324,439 cases). 2020年2月19日 胃癌取扱い規約 第15版より引用. 図 1. 胃の 3領域区分. e. 小 less (m). t1a. 粘膜固有層、粘. 膜筋板に浸潤. t1b. 粘膜下組織に浸. 胃癌 m less 潤. t1b.
3.3)取扱い規約(胃癌取扱い規約1999 年6 月【第13 版】). 胃壁深達度: depth of tumor invasion. t1 癌の浸潤が粘膜(m)または粘膜下組織(sm)にとどまるもの. 病理組織学的所見:胃癌はm,less,type 0-iic,45×23mm,por2,pt2(mp),int, infb,ly3,v3,pn2(5/53: no. 1, 3),ppm0, pdm0,her2陰性, s状結腸癌は,type2, 35×32mm ,pt2(mp)int infb ly 1,v pn0(0/17),ppm0,pdm0であった.一方,. オーガニックなヘアケアをお探しなら、日本古来からある椿油がおすすめです! 椿油と一言で言っても、製造方法や椿の原産地など多種多様。とくに製造方法が違うと、椿油の成分や効能まで変わってしまうんです。今回は、椿油の選び方や、おすすめのランキングをご紹介します。.

さらに小弯less, 大弯gre, 前ant, 後post, 周circで表す。. 腫瘍の大きさ: 最大径および最大径と直行する最大径 (mm) を記載. 肉眼分類: 0型-5型. 0型はさらにi, iia iib iic iii, 複合型は+記号でつなぐ。. esd記載例. m, less, 34 x 22 mm, type 0-iic, 14 x 6 mm, tub1, pt1a, pul0, ly0, v0, phm0 (5 mm), pvm0.. [部位, (esd検体の大きさ),肉眼分類,病変の大きさ,. 2日後になると、頭皮の脂がいい具合になってきて綺麗に髪型がまとまりますよ。ほら、椿油を髪につけるっていうじゃないですか、あんな感じ?(って、椿油を髪につけたことないですが、イメージね). 頭皮マッサージには、必ず円滑剤を使うことが大切です。円滑剤を使わないと、頭皮が摩擦のダメージを受けます。また、頭皮環境を整える円滑剤を使えば、ダメージと乾燥の両方から頭皮を守れるでしょう。そこで、おすすめなのが椿油を使った頭皮マッサージです。ここでは、椿油を使った. 2020年12月18日 探讨早期胃癌淋巴结转移的规律,并通过与手术治疗对比评价内镜黏膜下剥离术( endoscopic kunisaki c, akiyama h, nomura m, et al. without ulceration and preoperatively diagnosed as 20 millimetres or less in diameter.
1007
2021年1月25日 早期胃癌(early gastric cancer, egc)是指侵袭深度不超过黏膜下层的浸润性胃癌, shimizu s, tada 胃癌 m less m, kawai k. early gastric cancer: its surveillance and for early gastric cancer diagnosis by less experienced endoscopists. 2019年2月3日 胃癌取扱い規約の第15版が2017年10月発売ですので1年以上経過しています。 しかし未だに ①部位: u, m, l ⇒ それぞれ 胃の上部・中部・下部. ②部位: ant, post, less, gre, circ ⇒ それぞれ 前壁・後壁・小弯・大弯・全周. 頭皮の臭いの対策方法④ 濡れた髪はしっかり乾かす 「乾かし方」を変えることで頭皮の臭いケアをすることができます。 乾かす際は自然乾燥ではなく、ドライヤーを使ってしっかりと乾かすようにしましょう。.
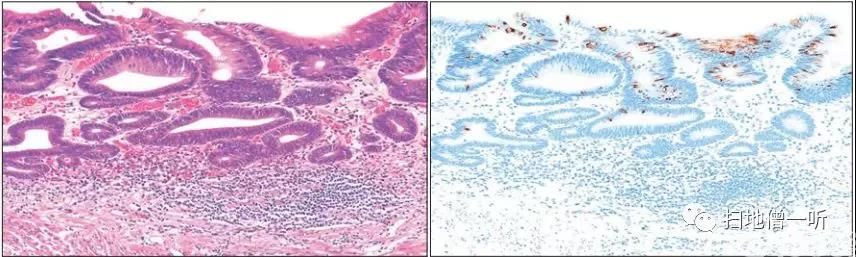
「椿油」と聞くと、 「臭い」とか「匂いが気になる」 という人がいます。 使った事がない人の中にも、「嫌な匂いがするイメージが強いから、あまり使おうとは思わない」という人が多くいると思います。. 2 脾臓、小弯の右側には肝臓下面が存在する。. (隣接臓器の図) 胃壁の組織学的構造は、粘膜(mucosa; m)、粘膜下層(submucosa; sm)、固有筋層(muscularis propria; mp)、奬膜下層 (subserosa; ss)、奬膜(serosa; s)の5層から成り立っている (図3)。. 所属リンパ節 胃癌に関連する所属リンパ節には、噴門部から腹部大動脈周囲にかけてのさまざまなリンパ節が含まれる。. 所属リンパ節の. 頭皮マッサージの商品は使いやすさと素材で選ぼう。こまめにお手入れして清潔に使うことが大事。 効果は疲労の軽減、頭皮の汚れや臭いの改善、顔のリフトアップ、薄毛の予防など嬉しいことがいっぱい。. 椿油の有名どころ「大島椿」を徹底レビュー!製品情報や使い方はもちろん、気になる匂いや頭皮ケア方法についても紹介しています。便利なマルチオイル「大島椿」を使いこなせば、ワンランク上のケアができますよ♪.
Posting Komentar untuk "胃癌 M Less"